لوگو آزادمد Logo azadmed

آزادمد؛ فروشگاه تخصصی مواد و تجهیزات دندانپزشکی

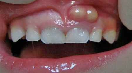
علت و درمان ورم لثه

1397/09/21

این تورم معمولا به دلیل جرم و یا باکتری انباشته شده روی دندان است.

علت و درمان ورم لثه

این تورم معمولا به دلیل جرم و یا باکتری انباشته شده روی دندان است. تورم لثه به عنوان یک بیماری غیر تخریبی لثه شناخته میشود، اما تداوم این بیماری می تواند منجر به پیشرفت التهاب لثه شود که بسیار جدی تر است و می تواند نهایتا منجر به از دست دادن دندان شود.

علائم تورم لثه شامل قرمزی و باد کردن لثه می باشد و لثه می تواند به راحتی هنگام مسواک زدن دچار خون ریزی شود. تورم لثه معمولا با رعایت بهداشت دهان مانند مسواک زدن طولانی و مکرر و جرم گیری حل خواهد شد. به علاوه ضد عفونی کردن با دهان شویه می تواند موثر باشد.

وقتی تورم دهان بسیار کم باشد فرد متوجه آن نخواهد شد به این علت که علائم آن بسیار کم است با این حال این وضعیت می تواند جدی شود و نیازمند به درمان فوری خواهد بود.

انواع تورم لثه:

  1. دندان با جرم که منجر به بیماری لثه شود: این بیماری به علت جرم، فاکتور های سیستمی، عوارض دارویی یا سوء تغذیه ایجاد می شود.
  2. دندان بدون جرم که منجر به زخم لثه می شود: این بیماری به دلیل برخی باکتری های خاص در دهان، ویروس و یا قارچ دهانی ایجاد می شود. همچنین ممکن است به علت فاکتور های ژنتیکی و شرایط سیستمی بدن شامل( آلرژی و یا بیماری های خاص، زخم یا واکنش بدن به جسم خارجی مثل دست دندان) باشد. بعضی اوقات هیچ دلیل خاصی برای این عارضه وجود ندارد.

علل تورم لثه:

علت اصلی تورم لثه جمع شدن باکتری میان و دور دندان هاست و این جرم ها منجر به واکنش ایمنی می شود که این حالت ممکن است باعث تخریب لثه نیز شود و نهایتا منجر به شرایط وخیم تر و از دست رفتن دندان خواهد شد.
جرم دندان یک لایه نازک است که به طور طبیعی روی دندان انباشته می شود . معمولا این جرم ها با انباشتگی و فرم گرفتگی با کتری ها همراه است که مایل به چسبیدن به سطوح نرم دندان را دارند. این باکتری ها ممکن است به حفاظت دهان در مقابل انباشتگی و جمع شدگی موجودات ریز مضر شود و از طرفی جرم های دندان می توانند منجر به فاسد شدن دندان ها نیز شوند و مشکلات لثه مانند تورم لثه و بیماری های مزمن لثه مثل عفونت را به وجود آورند. اگر این جرم ها به اندازه کافی از بین نروند می توانند بسیار سخت و رسوبی شوند این جرم ها معمولا در مجاورت لثه ایجاد میشوند و زرد رنگ هستند. این جرم ها و پلاک ها فقط باید توسط دندان پزشک برداشته شوند. جرم های سخت و سفت دندان نهایتا منجر به از بین بردن لثه، تورم لثه دور دندان می شود و این امر منجر به خون ریزی لثه می شود.

علل و ریسک فاکتورهای دیگر:

  1. اختلال هورمونی: این حالت زمان بلوغ ، یائسگی ، قاعدگی و زمان بارداری در زنان اتفاق می افتد که در این حالت لثه بسیار حساس می شود و خطر التهاب لثه افزایش می یابد.
  2. برخی بیماری ها: سرطان ، دیابت، یا HIV خطر بیماری های لثه را افزایش می دهد.
  3. استفاده از برخی دارو ها: سلامت دهان می تواند به خاطر استفاده از دارو مورد تهدید قرار گیرد به خصوص زمانی که میزان بزاق دهان کاهش یابد. داروی دیلان تین، داروهای ضد تشنج و دارو های ضد آنژین می تواند منجر به افزایش و رشد غیرعادی بافت دهان شود.
  4. سیگار کشیدن: سیگار کشیدن مداوم می تواند منجر به افزایش بیماری های لثه کمک کند و در مقایسه با افراد غیر سیگاری این افراد بیشتر دچار بیماری های لثه خواهند شد.
  5. افزایش سن: ریسک ابتلا به ورم لثه با افزایش سن رابطه مستقیم دارد.
  6. رژیم غذایی ناسالم: کمبود ویتامینc وa می تواند منجر به التهاب لثه شود.
  7. سابقه خانوادگی: افرادی که والدینشان دارای این بیماری هستند احتمال بیشتری دارد که دچار این بیماری شوند. اما برخی باکترها در طول زندگی در دهان رشد می کنند و منجر به بیمارهای لثه می شود.

در موارد خفیف التهاب لثه ممکن است هیچ نشانه ی مهمی نداشته باشد و این علایم ممکن است شامل:

  1. قرمز شدن و ارغوانی شدن لثه.
  2. نرم شدن لثه که در هنگام لمس دردنامک باشد.
  3. خون ریزی لثه هنگام مسواک زدن
  4. بوی بد دهان
  5. تورم لثه
  6. پس رفت و تحلیل لثه
  7. لثه نرم

تشخیص:

دندان پزشک ها دندان ها و دهان را برای شخیص این بیماری معاینه می کنند تا متوجه جرم ،پلاک در دهان شوند. در این معاینات چک کردن نشانه های تورم لثه نیز توصیه می شود. این امر ممکن است با اشعه x و استفاده از وسایلی که میزان عمق تحلیل رفتن لثه را اندازه گیری می کند ، انجام گیرد.

درمان:

در صورتی که تشخیص زود هنگام انجام شود و درمان به صورت فوری انجام گیرد ، تورم لثه می تواند به صورت موفق درمان شود. و این درمان شامل مراقبت توسط دندان پزشک متخصص و چک آپ های مکرر توسط بیمار می باشد.

مراقبت های حرفه ایی دندان:

در این درمان جرم ها و پلاک های دندان پاک میشوند و این عمل اصطلاحا scaling نام دارد. انجام این کار ممکن است باعث ایجاد ناراحتی و درد در فرد گردد به خصوص زمانی که جرم ها بسیار بزرگ و گسترده باشند و یا زمانی که لثه بسیار حساس شده باشد. دندان پزشکان ممکن است نحوه صحیح مسواک زدن و بهداشت دهان را به بیمار توضیح دهند. در ضمن معاینات منظم به منظور پاکسازی دندان ها انجام خواهد گرفت. همچنین درست کردن دندان های آسیب دیده می تواند به بهداشت دهان کمک کند. برخی از مشکلات دندان شامل دندان کج که ممکن است پاک کردن جرم و پلاک های دندان را سخت تر کند و در نتیجه مشکلات لثه بدتر خواهد شد.

مراقبت در منزل:

  1. حداقل 2 بار در روز مسواک بزنند.
  2. از مسواک برقی استفاده کنند.
  3. حداقل یک بار در روز از نخ دندان استفاده کنند.
  4. به طور منظم دهان را با دهان شویه های ضد عفونی بشویند.

همچنین مسواک های مناسب بدین منظور توسط پزشک توصیه خواهند شد.

منبع: www.medicalnewstoday.com
دندان،لثه،دهان،
local_grocery_store