لوگو آزادمد Logo azadmed

آزادمد؛ فروشگاه تخصصی مواد و تجهیزات دندانپزشکی

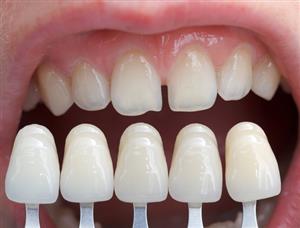
روکش جدید برای دندان ها ابداع شد

1397/10/03

یک دندانپزشک وسیله جدید برای روکش دندان ها ابداع کرده که استفاده از آن بسیار ساده تر است و ظاهر دندان نیز زیباتر می شود.

روکش جدید برای دندان ها ابداع شد

نام این وسیله Uveneer است و نحوه استفاده از آن را در ویدئو زیر می توانید مشاهده کنید.

یک دندانپزشک با نام سیگال جاکوبسون این وسیله را اختراع کرده است و توضیح می دهد که کار کردن بدون این وسیله قاشق مانند بسیار سخت بوده و من تصمیم گرفتم که خودم این وسیله را درست کنم و من میدانستم که فقدان این وسیله برای بقیه دندان پزشکان هم مشکل ایجاد کرده است. درابتدا برای خرید این وسیله اقدام کردم اما چنین وسیله ایی در کالاهای دندان پزشکی وجود نداشت بنابراین تصمیم گرفتم که خودم این وسیله را بسازم

برای استفاده از Uveneer ابتدا دندان پزشک باید هر گونه پوسیدگی در دندان ها را از بین ببرد سپس باید از جدا کننده های میان دندانی استفاده کند تا حاشیه ی یک دندان مشخص شود و سپس دندان ها باندینگ میشوند و در مرحله آخر از لایت کیور استفاده می شود.

حال دندان برای روکش کردن آماده است و در این مرحله دندان پزشک کامپوزیت را روی دندان قرار می دهد و Uveneer را روی دندان فشار می دهند که کامپوزیت به شکل دندان در بیاید و در مرحله بعدی کامپوزیت های اضافی دور دندان با یک وسیله تراش داده خواهد شد .

دندانپزشک،روکش جدید
local_grocery_store