لوگو آزادمد Logo azadmed

آزادمد؛ فروشگاه تخصصی مواد و تجهیزات دندانپزشکی

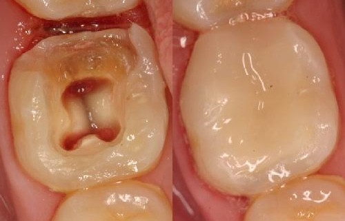
درمان ریشه دندان

1396/02/11

محققان دانشگاه هاروارد و دانشگاه ناتینگهام در پروژه‌ای جدید قصد دارند با استفاده از درمان سلول بنیادی، نیاز به عصب‌کشی دندان را پایان بخشیده و مسیر جدیدی را به جهان دندان‌پزشکی معرفی کنند.

درمان ریشه دندان

درمان ریشه دندان؛ خودترمیمی عاج در پیش است

محققان دانشگاه هاروارد و دانشگاه ناتینگهام، نوعی ماده پرکننده دندان از یک ماده زیستی مصنوعی درست کرده‌اند که می‌تواند رشد سلول‌های بنیادی را در پالپ دندان تحریک کند.

به نقل از پاپیولارساینس، دندانپزشکان سالانه صدها میلیون پوسیدگی دندان را با خالی کردن دندان و پر کردن آن درمان می‌کنند.

اما در این میان، 10 تا 15 درصد درمان مذکور ناموفق بوده که منجر به میلیون‌ها مورد عصب‌کشی و خارج کردن پالپ دندان - بافت نرم مرکز دندان که رگهای خونی، عصبی و بافت مرتبط در آن قرار دارد- می‌شود.

عصب‌کشی می‌تواند به سست شدن دندان منجر شود و در نهایت باید آن دندان را کشید.

محققان نوعی ماده پرکننده دندان از یک ماده زیستی مصنوعی درست کرده‌اند که می‌تواند رشد سلول‌های بنیادی را در پالپ دندان تحریک کند. این پرکننده مانند انواع معمولی در دندان تزریق شده و با نور فرابنفش جامد می‌شود.
این ماده در شرایط آزمایشگاهی به تحریک فرآیند تکثیر و تفکیک سلول‌های بنیادی در عاج دندان می‌پردازد که نوعی بافت استخوانی سازنده دندان در زیر مینای سفید است.

محققان بر این باورند که سلول‌های بنیادی مذکور در صورت استفاده در دندان آسیب‌دیده می‌توانند آسیب‌های ناشی از پرکردن عادی دندان را ترمیم کنند. در حقیقت، این ماده زیستی به دندان اجازه می‌دهد تا خود را ترمیم کند.
محققان توانستند با این تحقیق جایزه دوم گروه مواد را در رقابت فناوری‌های نوظهور انجمن سلطنتی شیمی انگلیس در سال جاری بدست آورند.

تجهیزات دندانپزشکی،ریشه دندان،عصب کشی،مواد پرکننده دندان
local_grocery_store